Syndrome de Turcot
Le syndrome de Turcot aussi appelé « syndrome gliome-polypose » est l'association d'une polypose colique et de tumeurs malignes du système nerveux central. Il s'agit d'une maladie héréditaire à transmission autosomique dominante. Syndrome clinique assez rare, présumant une susceptibilité génétique aux cancers, qui associe des tumeurs cérébrales primitives (médulloblastome, astrocytome, glioblastome) et une polypose colique familiale ou des cancers colo-rectaux. Le syndrome de Turcot est causé par une mutation du gène APC, MLH1 ou PMS2.
Syndrome de Turcot de type 1 et de type 2
- Le type 1 est associé à des mutations dans les gènes de réparation des mésappariements (MMR), conduisant au syndrome de Lynch (maladie colorectale héréditaire sans polypose). Cancer, HNPCC). Les patients atteints de ce type développent souvent glioblastome, une forme très agressive de cerveau tumeur.
- Le type 2 est lié à des mutations du gène APC, également responsable de la polypose adénomateuse familiale (PAF). Ce type est caractérisé par des médulloblastomes et un nombre plus élevé de polypes colorectaux.
La base génétique du syndrome de Turcot nécessite une compréhension globale de ses causes, afin de mieux identifier et gérer la maladie.
Causes du syndrome de Turcot
L'étiologie du syndrome de Turcot repose sur des mutations génétiques. Ces mutations sont transmises selon un mode autosomique dominant, ce qui signifie qu'une seule copie du gène altéré suffit à prédisposer un individu au syndrome.
Mutations génétiques impliquées
- Gènes de réparation des mésappariements (MMR) : ces gènes sont responsables de la correction des erreurs de réplication de l'ADN. Les mutations à cet endroit entraînent une instabilité des microsatellites, une caractéristique du syndrome de Lynch et donc du syndrome de Turcot de type 1.
- Gène APC : ce gène joue un rôle crucial dans le contrôle de la croissance cellulaire. Les mutations provoquent une division cellulaire incontrôlée, conduisant à la polypose et au syndrome de Turcot de type 2.
La compréhension de ces fondements génétiques est essentielle pour un diagnostic précis et des stratégies de traitement ciblées.
Symptômes du syndrome de Turcot
Les symptômes du syndrome de Turcot sont principalement dictés par la présence de polypes colorectaux et de tumeurs du système nerveux central. La manifestation des symptômes dépend souvent du type de mutation génétique.
Symptômes colorectaux
- Polypes : La présence de nombreux polypes colorectaux peut entraîner des symptômes tels que des saignements rectaux, des changements dans les habitudes intestinales et douleurs abdominales.
- Risque de cancer : ces polypes présentent un risque important de devenir malins s’ils ne sont pas gérés de manière appropriée, ce qui nécessite une surveillance régulière.
Symptômes neurologiques
- Tumeurs cérébrales : le type de tumeur cérébrale influence les symptômes. Les glioblastomes peuvent provoquer des maux de tête, des convulsions et des déficits neurologiques, tandis que les médulloblastomes peuvent entraîner des symptômes liés à une augmentation de la pression intracrânienne, tels que des nausées et des vomissements.
- Troubles cognitifs et moteurs : Selon la localisation de la tumeur, les patients peuvent souffrir de troubles cognitifs, d’une faiblesse motrice ou de changements de comportement.
La diversité des symptômes nécessite une approche multidisciplinaire pour une prise en charge efficace.
Diagnostic du syndrome de Turcot
Compte tenu de sa base génétique et de sa symptomatologie complexe, le diagnostic du syndrome de Turcot implique une combinaison d’évaluation clinique, d’imagerie et de tests génétiques.
Évaluation clinique et imagerie
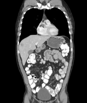
- Examen coloscopique : il est essentiel pour identifier les polypes colorectaux et évaluer leur nombre et leur taille.
- Neuroimagerie : l'IRM ou la tomodensitométrie sont utilisées pour détecter et évaluer les tumeurs du SNC, fournissant des informations essentielles sur la taille, l'emplacement et le type.
Test génétique
- Conseil génétique : Essentiel pour les familles, le conseil génétique permet de mieux comprendre les risques héréditaires et d’orienter les décisions en matière de tests.
- Tests génétiques : l'identification des mutations dans les gènes MMR ou APC confirme le diagnostic. Ces informations sont essentielles pour planifier la surveillance et les stratégies de prévention.
L’intégration des données cliniques, d’imagerie et génétiques garantit une approche diagnostique complète.
