Les fractures de cote chez l´homme âgé sont un signe d´ostéoporose
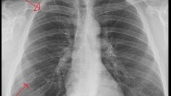
La survenue d´une fracture de cote chez un homme âgé doit faire rechercher une ostéoporose. Telle est la conclusion d´une étude prospective multicentrique américaine (The Osteoporotic Fractures in Men ou MrOS Study) menée sur près de 6 000 hommes âgés de 65 ans et plus. Les participants ont été interrogés par courrier tous les quatre mois pendant 6 ans sur le nombre de chutes et/ou la survenue de fractures (validées par des radiographies). Durant le suivi, un quart des fractures non vertébrales rapportées par les participants étaient de fractures de cote, soit une incidence de 3,5 pour mille patient-année. Un âge > 80 ans, une densité minérale osseuse basse, des difficultés dans les activités quotidiennes instrumentales et un antécédent de fracture de cote ou du thorax étaient des facteurs indépendants de risque de fracture de cote. Un antécédent de fracture de cote ou thoracique multipliait par plus de deux le risque de faire une nouvelle fracture de cote (HR 2,71%, IC 95% :1,86-3,95), de hanche (HR 2,05, IC95% :1,33-3,15) et du poignet (HR 2,06, IC95% :1,14-3,70). L´incidence cumulative des fractures de cote chez les hommes ayant un antécédent de fracture de cote était beaucoup plus élevée que celle des hommes sans fractures de cote dans leur passé. L´ensemble de ces données incitent à penser que les fractures de cotes chez les hommes âgés sont d´authentiques fractures ostéoporotiques et doivent être traitées comme telles.
